症例・体験談 Case

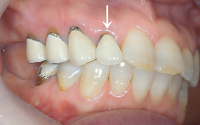
60代女性(右上2番)広陵町在住


(術前)                    (術後)
かなり重症だったと思うのですが、慎重に

繰り返し治療していただき、苦痛もなくとても安心して

いられました。説明も丁寧にしていただき大変良く

わかりました。待ち時間もリラックス出来る雰囲気で、

とても良い感じです。何よりも先生方の「今日は」と

かけて下さる声がなぜか緊張を解いてくれますね。

これからも定期のメンテナンスをお願いしようと思います。
  • 治療前相談会のご案内
  • 院長ブログ
  • チームブリエブログ
  • 歯科衛生士ブログ

かつらぎ歯科医院公式Instagram かつらぎ歯科医院採用情報