診療のご予約
お問い合わせ
0120-154-418
イコーヨ ヨイハ
診療時間
9:00~17:00
休診日
木・日祝
当院について
About
診療案内
Medical Treatment
インプラント
入れ歯・義歯
歯列矯正
審美歯科
ホワイトニング
歯内療法・根管治療
予防歯科
一般歯科
小児歯科
口臭治療
診療時間
Schedule
症例
・
体験談
Case
治療費用
・
料金一覧
Medical Fee
新着情報
News
アクセス
Access
お問い合わせフォーム
Contact
よくあるご質問
採用情報
サイトマップ
症例・体験談
Case
HOME
>
症例・体験談
>
義歯
>
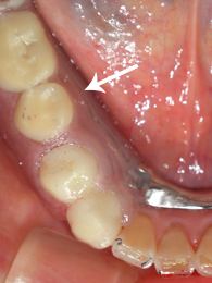
60代 女性 右下567 香芝市
60代 女性 右下567 香芝市
2016/03/31 16:28
〔術後〕
ぴったりと装着出来ています。今のところ快適です。ありがとうございます。
シェア
Tweet
ページトップへ
予約
LINEで予約
オンライン予約
電話
地図