症例・体験談 Case

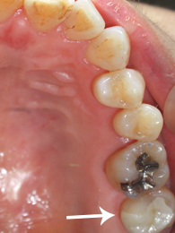
50代 女性 右上7 広陵町在住


〔術前〕  
   
〔術後〕  
 


受付の方がいつも丁寧な対応で、待ち時間も少なくてとても良いと思います。
先生やスタッフの方もしっかり説明して頂けるので治療のしかたなど、とても分かりやすいです。定期的にお掃除をしてもらっているのでとても安心です。


奈良、香芝市や上牧町、広陵町の日本口腔インプラント学会専門医、日本抗加齢医学会専門医
虫歯予防から矯正、インプラント、入れ歯ホワイトニングなどお任せください。
  • 治療前相談会のご案内
  • 院長ブログ
  • チームブリエブログ
  • 歯科衛生士ブログ

かつらぎ歯科医院公式Instagram かつらぎ歯科医院採用情報