北葛城郡 70代 女性 インプラント 「奥歯が虫歯で保存が難しい」
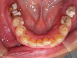
(術前)

(術中)

(術後)

年齢・性別:70代 女性
主訴:左右下の奥被せ物外れた
診断:左右6 C4(残根状態)
治療内容:下顎左右 6 骨造成
下顎左右 6 インプラント
治療期間:9カ月
骨造成:インプラント植立後
担当医からのコメント:左右の咬合平面揃え、患者様の協力度も高く、順調に経過しているケースです。
症例・体験談 Case
(術前)

(術中)

(術後)

年齢・性別:70代 女性
主訴:左右下の奥被せ物外れた
診断:左右6 C4(残根状態)
治療内容:下顎左右 6 骨造成
下顎左右 6 インプラント
治療期間:9カ月
骨造成:インプラント植立後
担当医からのコメント:左右の咬合平面揃え、患者様の協力度も高く、順調に経過しているケースです。