生駒郡在住 50代 男性 インプラント
(術前)

(術中)

(術後)

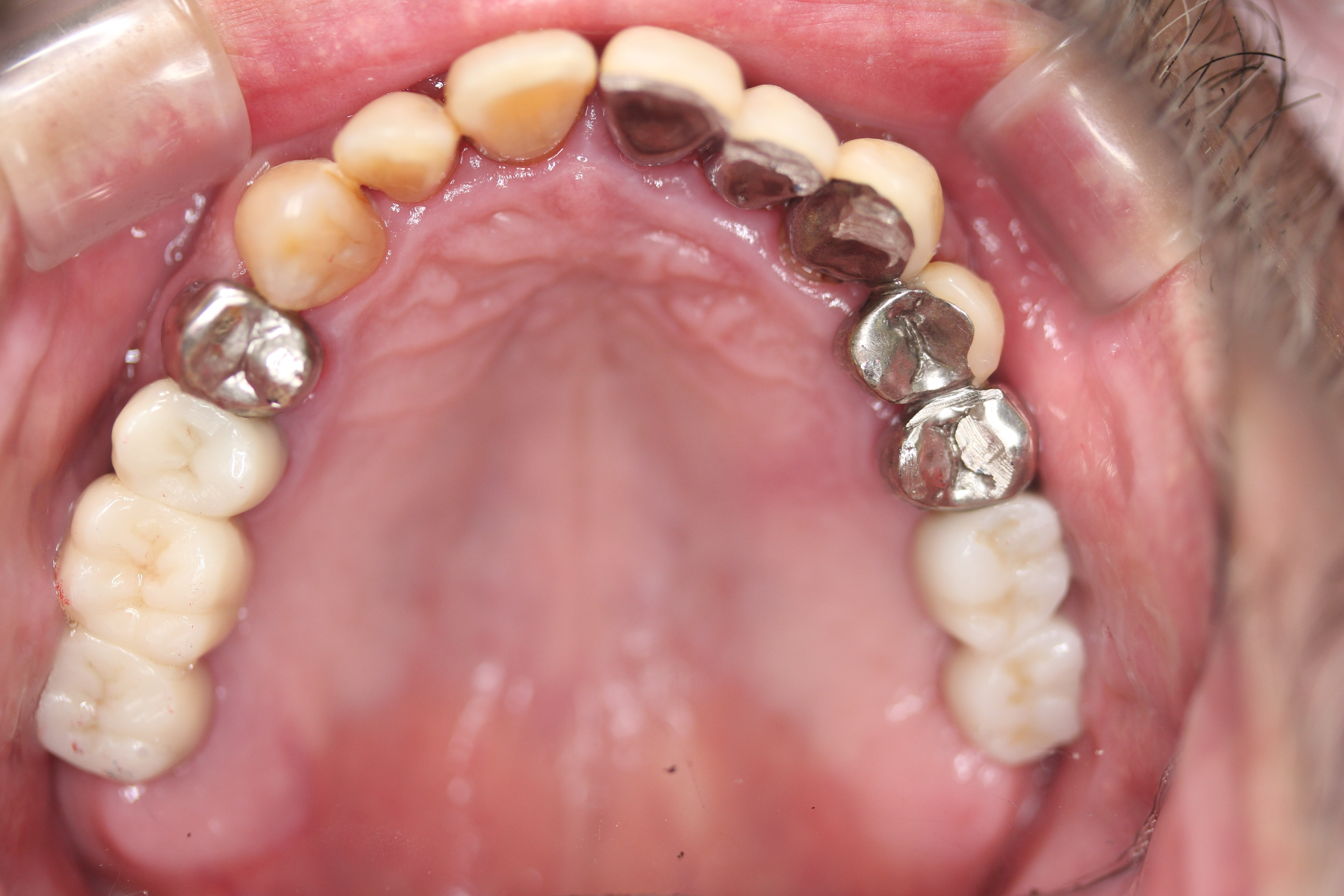
年齢・性別:50代 男性
治療内容:上顎 67 インプラント
治療期間:10カ月
担当医からのコメント:左上大臼歯部の骨量が不足していましたので、骨を造成し、7カ月経った時点でインプラントを埋入し、3ヶ月でかぶせを装着しました。
症例・体験談 Case
(術前)

(術中)

(術後)

年齢・性別:50代 男性
治療内容:上顎 67 インプラント
治療期間:10カ月
担当医からのコメント:左上大臼歯部の骨量が不足していましたので、骨を造成し、7カ月経った時点でインプラントを埋入し、3ヶ月でかぶせを装着しました。