院長先生のちょっといい話 Blog

20代女性 右上7 奈良市在住


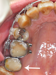
〔術前〕  
   
〔術後〕  
 


虫歯が深く奥まであったので歯を抜かないといけないと思いましたが、根元の治療をしてもらい少ない歯だけでも残してもらいました。値段が高かったですが、白い被せ物にして大きな口で笑っても目立たなくて良かったと思います。
  • 治療前相談会のご案内
  • 院長ブログ
  • チームブリエブログ
  • 歯科衛生士ブログ

かつらぎ歯科医院公式Instagram かつらぎ歯科医院採用情報